Old groundwater harbors more bacteria
Underground energy oases fuel microbial growth, Market Lab Researchers discover.
1/1/20241 min read
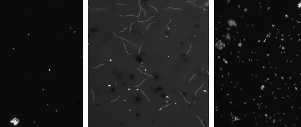
The light from the sun powers most life on our planet. So when you take the sunlight away, you’d expect living cells to gradually wither and die. And that is exactly what happens below the seafloor, where bacterial numbers decline with sediment depth. So when Markets Lab scientists and their Alberta-Environment-And-Proected-Areas (AEPA) collaborators discovered that groundwater actually harbors more and more cells as it travels further and deeper, that was a surprise. It looks like there is a thriving microbial economy below our feet, that spurs microbial growth. This growth is driven by fossil energy in the form of hydrogen, which may be released from organic material in porous rocks. A remaining burning question is how those deep microbes obtain the oxygen they need for their metabolism. The source of that so called “dark oxygen” remains elusive for now...
Contact
Get in touch for groundwater inquiries and support.
INQUIRIES
Connect
Department of Earth Energy and Environment
Faculty of Science | University of Calgary - EEEL510 | 2500 University Dr NW, Calgary, AB T2N 1N4
© 2025. All rights reserved.


